Ler25C325A9gimeyogourtEssuyer4livresen3jours

Le Régime Yogourt : Perdre 2 Kg En Seulement 3 Jours

Si vous voulez réduire le poids rapidement ce régime est le bon choix pour vous. Le régime de yogourt vous fera perdre 2 kg en seulement 3 jours. De quoi rendre ce régime si efficace sont les avantages des probiotiques, qui améliorent la santé de la flor ...

3rem25C325A8desmaisonpournettoyerlesdentsPlaque

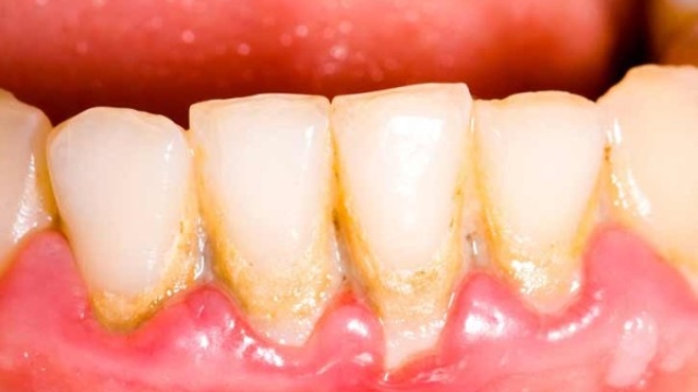
3 remèdes maison pour nettoyer les dents Plaque

Quand il vient à la plaque, nous savons tous que tout dentiste peut faire un travail parfait. La plaque dentaire est un dépôt invisible, collante, claire et douce de bactéries qui colle à la gencive et la surface des dents. Ce dépôt est dû à la collecte ...

Love.causedel2527augmentationdupoids

Love .. cause de l’augmentation du poids

Love .. cause de l'augmentation du poids Une étude menée par des chercheurs suisses que les gens qui sont un excellent histoires d'amour vivant, et nouvellement marié, pèse nettement plus que les personnes qui ne sont pas associés avec le ...